Case Studies
症例
本症例は一例であり、治療結果・期間・費用は個人差があります。
詳細は診察時にご説明いたします。
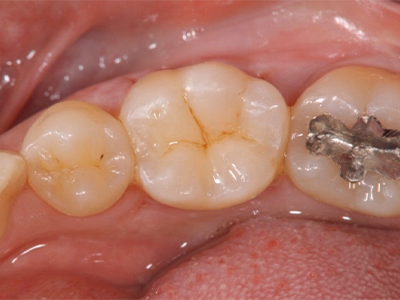
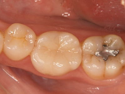
精密根管治療
精密根管治療
感染根管治療(リトリートメント)
項目
内容
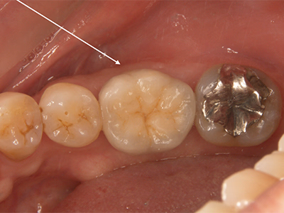
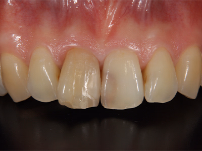
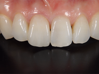
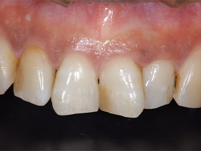
治療前後写真

治療前

治療後
年齢・性別
非公開
来院理由
右下奥歯で咬むと違和感がある/歯ぐきが腫れてきた
治療内容
- ① 顕微鏡視下根管治療(マイクロエンド)
- ② 根管拡大・洗浄2回
- ③ 2ヶ月経過観察で再生反応確認後に根管充填
- ④ マイクロスコープ下でファイバーコア築造+セラミック冠装着
治療期間
約3ヶ月半(1回の治療:1~2時間)
費用
- マイクロエンド132,000円
- ファイバーコア 22,000円
- 仮歯 6,600円
- セラミック冠 165,000円
リスク・副作用
- 術後の腫れ・痛み・出血
- 慢性根尖性歯周炎が再発する可能性
- 定期的なチェックが必要
医院コメント
サイナストラクトは消失し、CTでも透過像の改善を確認。
術後数日で痛み消失し、セラミック装着後も良好な咀嚼が可能。
現在は年1 回の定期チェックを継続中。
術後数日で痛み消失し、セラミック装着後も良好な咀嚼が可能。
現在は年1 回の定期チェックを継続中。
抜髄(イニシャルトリートメント)
項目
内容
治療前後写真

治療前

治療後
年齢・性別
非公開
来院理由
右下奥歯で咬むと違和感がある/歯ぐきが腫れてきた
治療内容
- ① 顕微鏡視下根管治療(マイクロエンド)
- ② 根管拡大・洗浄2回
- ③ 2ヶ月経過観察で再生反応確認後に根管充填
- ④ マイクロスコープ下でファイバーコア築造+セラミック冠装着
治療期間
約3ヶ月半(1回の治療:1~2時間)
費用
- マイクロエンド132,000円
- ファイバーコア 22,000円
- 仮歯 6,600円
- セラミック冠 165,000円
リスク・副作用
- 術後の腫れ・痛み・出血
- 慢性根尖性歯周炎が再発する可能性
- 定期的なチェックが必要
医院コメント
サイナストラクトは消失し、CTでも透過像の改善を確認。
術後数日で痛み消失し、セラミック装着後も良好な咀嚼が可能。
現在は年1 回の定期チェックを継続中。
術後数日で痛み消失し、セラミック装着後も良好な咀嚼が可能。
現在は年1 回の定期チェックを継続中。
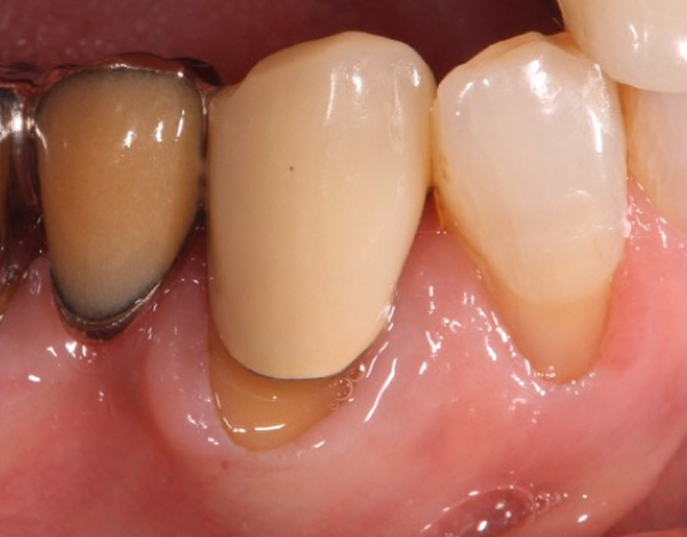
破折器具の除去
項目
内容
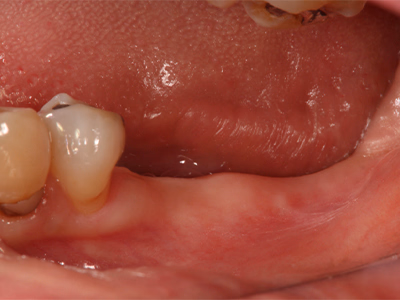
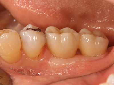
治療前後写真

治療前

治療後
年齢・性別
非公開
来院理由
奥歯がしみて痛む(右上第2大臼歯 #27)
治療内容
- ① CT診査で根管形態を把握
- ② マイクロスコープ+ラバーダム下で抜髄(根管清掃)
- ③ 2回目で根管充填・ファイバーコア封鎖
- ④ 3回目:支台歯形成・印象
- ⑤ 4回目:セラミッククラウン装着
治療期間
約1ヶ月半(1回の治療:1~2時間×4回)
費用
- マイクロエンド 132,000円
- ファイバーコア 22,000円
- 仮歯 6,600円
- セラミック冠 165,000円
リスク・副作用
- 術後の腫れ・痛み・出血
- 根管内組織を完全に除去できない場合、慢性根尖性歯周炎へ移行する可能性
- 定期的なチェックが必要
医院コメント
抜髄後数日で痛みが消失。
セラミック装着後も正常に咀嚼でき、現在は年1回の定期検診で良好な経過を維持。
セラミック装着後も正常に咀嚼でき、現在は年1回の定期検診で良好な経過を維持。
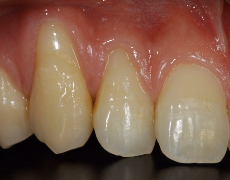
外科的歯内療法(歯根端切除術)
項目
内容
治療前後写真

治療前

治療後
年齢・性別
非公開
来院理由
他院で抜髄処置後も咬合時違和感が続く(破折リーマー残存の情報あり)
治療内容
- ① マイクロスコープ+ラバーダム下で再根管消毒
- ② CTで破折器具の位置・長さを確認し破折リーマー除去
- ③ 症状改善を確認し根管充填
- ④ ファイバーコア築造+セラミック装着
治療期間
約2ヶ月(1回の治療:1~2時間)
費用
- マイクロエンド 132,000円
- 破折リーマー除去 33,000円
- ファイバーコア 22,000円
- 仮歯 6,600円
- セラミック冠 165,000円
リスク・副作用
慢性根尖性歯周炎の再発可能性/術後の痛み・腫脹・出血
医院コメント
破折器具除去と無菌的消毒を徹底し、緊密充填と精密補綴を実施。長期経過で良好。
インプラント治療
インプラント治療
インプラント1歯欠損(臼歯・症例)
項目
内容
治療前後写真

治療前

治療後
年齢・性別
80歳・男性
来院理由
右下の歯がぐらぐらして咬めない
治療内容
- ① 重度歯周病のため抜歯 → 治癒後プランニング
- ② 1次手術時に骨造成を併用してインプラント埋入
- ③ 3ヶ月後、2次手術時に歯肉移植(歯肉補強術)を併用
- ④ 最終補綴装着後、メンテナンスへ移行
治療期間
約5ヶ月
費用
450,000円
リスク・副作用
清掃・メンテナンス不良でインプラント周囲炎・感染・脱落の可能性/術後の痛み・腫脹・出血
医院コメント
骨造成と歯肉補強を段階的に行い、清掃性・耐久性の高い周囲組織を再建。
埋入から15年経過時点でも良好に機能。
埋入から15年経過時点でも良好に機能。
インプラント1歯欠損(前歯)
項目
内容
治療前後写真

治療前

治療後
年齢・性別
40代・女性
来院理由
前歯の治療を他院で行っていたが、これ以上治せないとのことで当クリニックでの治療を希望
治療内容
- ① CT検査・サージガイド作製
- ② 抜歯と同時にインプラント埋入(抜歯即時埋入)
- ③ 結合組織移植
- ④ セラミッククラウン+ラミネートベニア装着
治療期間
約8ヶ月
費用
902,000円(税込・自費診療、保険適応外)
リスク・副作用
- 術後の腫脹・疼痛・出血
- インプラントが骨結合しない可能性
医院コメント
噛む機能だけでなく口元のバランスも改善。
定期メンテナンスにより長期安定を目指します。
定期メンテナンスにより長期安定を目指します。
インプラント2歯欠損(臼歯)
項目
内容
治療前後写真

治療前

治療後
年齢・性別
47歳・女性
来院理由
左下の奥歯が痛くて咬めない
治療内容
- ① 抜歯後に診査・シミュレーション
- ② サージカルテンプレートを用い、インプラント埋入+歯槽骨造成を併用(一次手術)
- ③ 3ヶ月後に二次手術(歯肉移植併用)
- ④ 最終補綴装着→メンテナンス移行
治療期間
一次→二次手術まで約3ヶ月、その後最終補綴
費用
1,069,200円
リスク・副作用
口腔清掃・メンテ不足で周囲炎・感染・脱落の可能性
医院コメント
インプラント周囲に厚い角化歯肉を再建し、清掃性を高めて長期安定を図った。
インプラント2歯欠損(前歯)
項目
内容
治療前後写真

治療前

治療後
年齢・性別
40代・女性
来院理由
前歯で噛むと痛む/見た目も気になる
治療内容
- ① CT診査・サージカルガイド作製
- ② 抜歯と同時にインプラント埋入(抜歯即時埋入)+結合組織移植
- ③ ホワイトニング
- ④ セラミッククラウン装着
治療期間
約6 か月(手術当日+3回の経過観察・最終補綴)
費用
1,320,000円(税込・自費診療、保険適用外)
リスク・副作用
- 術後の腫脹・疼痛・出血
- インプラントが骨結合しない可能性
医院コメント
噛む機能だけでなく口元のバランスも改善。
定期メンテナンスにより長期安定を目指します。
定期メンテナンスにより長期安定を目指します。
インプラント3歯欠損(臼歯)
項目
内容
治療前後写真

治療前

治療後
年齢・性別
68歳・女性
来院理由
右下の奥歯がグラグラして咬めない
治療内容
- ① ブリッジ部抜歯→治癒後に診査
- ② 欠損4歯に対し3本埋入でインプラントブリッジ設計
- ③ ガイド使用で埋入+骨造成併用→3ヶ月後に二次手術(歯肉移植)→最終補綴
治療期間
一次→二次手術まで約3ヶ月、その後最終補綴
費用
1,684,800円
リスク・副作用
清掃・メンテ不足で周囲炎・感染・脱落の可能性
医院コメント
支台数を最適化したブリッジ設計と軟・硬組織の再建で長期安定性を確保。
インプラントブリッジ(前歯)
項目
内容
治療前後写真

治療前

治療後
年齢・性別
66歳・女性
来院理由
他院ブリッジが脱離。欠損補綴はインプラント希望
治療内容
- ① 破折歯は抜歯、保存困難歯は抜歯・2次カリエス部もインプラントで再設計
- ② ガイド使用。静脈内鎮静下で抜歯即時埋入
- ③ 3ヶ月後に二次手術(歯肉移植)→仮歯調整→最終補綴→メンテナンス
治療期間
一次→二次手術まで約3ヶ月、その後仕上げ
費用
1,134,000円
リスク・副作用
清掃・メンテ不足で周囲炎・感染・脱落の可能性
医院コメント
抜歯即時埋入と歯肉移植を組み合わせ、支持組織を温存しつつ審美性を回復。
サイナスリフト
項目
内容
治療前後写真

治療前

治療後
年齢・性別
30代・女性
来院理由
欠損部にインプラントを入れてほしい
治療内容
- ① 上顎洞底拳上術(サイナスリフト)で骨造成→6ヶ月後に無切開で埋入(ガイド併用)
- ② 3ヶ月後に仮歯→最終補綴→メンテナンス
治療期間
約10ヶ月
費用
850,000円
リスク・副作用
清掃・メンテ不足で周囲炎・感染・脱落の可能性
医院コメント
残存骨1mmの高度骨欠損でもサイナスリフトで十分な骨量を再建し、安全に埋入。
ソケットリフト
項目
内容
治療前後写真

治療前

治療後
年齢・性別
58歳・女性
来院理由
例1:以前治療した右上奥歯が痛い
治療内容
- ① ガイド使用で埋入と同時にソケットリフト併用→4ヶ月後に二次手術→仮歯→最終補綴→メンテナンス
治療期間
記載あり(一次→二次手術まで約4ヶ月)
費用
764,500円
リスク・副作用
清掃・メンテ不足で周囲炎・感染・脱落の可能性
医院コメント
上顎洞底を挙上して必要骨量を確保し、適切な長さのインプラントを安全に植立。
抜歯即時埋入
項目
内容
治療前後写真


治療前


治療後
年齢・性別
66歳・女性
来院理由
他院ブリッジ脱離。審美的・機能的な回復を希望
治療内容
- ① 抜歯と同時にインプラント即時埋入(ガイド・静脈内鎮静)
- ② 3ヶ月後に二次手術(歯肉移植)→仮歯→最終補綴
治療期間
一次→二次手術まで約3ヶ月
費用
1,134,000円(当該ブリッジ全体の費用)
リスク・副作用
清掃・メンテ不足で周囲炎・感染・脱落の可能性
一次安定不足時は即時埋入・即時荷重が適応外となる場合あり
一次安定不足時は即時埋入・即時荷重が適応外となる場合あり
医院コメント
抜歯窩を温存しつつ即時に埋入することで、形態維持・治療期間短縮に寄与。
軟組織移植で審美性を補強。
軟組織移植で審美性を補強。
All-on-4(オールオンフォー)
項目
内容
治療前後写真

治療前

治療後
年齢・性別
40代・女性
来院理由
上顎の歯が痛くて噛みにくい/見た目も気になる
治療内容
- ① CT診査・サージカルガイド作製
- ② インプラント体埋入手術+仮歯装着
- ③ 最終上部構造装着
治療期間
約18 か月
費用
3,140,500円(税込・自費診療、保険適応外)
リスク・副作用
- 術後の腫脹・疼痛・出血
- インプラントが骨結合しない可能性
- 神経損傷や上顎洞穿孔のリスク・定期メンテナンスが必要
医院コメント
噛む機能だけでなく口元のバランスも改善。
定期メンテナンスにより長期安定を目指します。
定期メンテナンスにより長期安定を目指します。
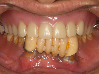
インプラント義歯
項目
内容
治療前後写真

治療前

治療後
年齢・性別
73歳・男性
来院理由
入れ歯がグラグラして咬めない
治療内容
- ① 上顎は金属フレーム義歯を新製
- ② 下顎は顎堤吸収が強いため下顎に2本埋入しオーバーデンチャーを作製→メンテナンス
治療期間
約4ヶ月
費用
1,078,000円(下顎)
リスク・副作用
清掃・メンテ不足で周囲炎・感染・脱落の可能性
医院コメント
少数本のインプラント支持で義歯の安定・咀嚼能を大幅に改善。
精密補綴治療
(詰めもの・被せもの)
精密補綴治療
(詰めもの・被せもの)
(詰めもの・被せもの)
奥歯の詰め物(コンポジットレジン)
項目
内容
治療前後写真

治療前

治療後
年齢・性別
28歳・女性
来院理由
銀歯が取れて少ししみる
治療内容
マイクロスコープ下でカリエス除去
コンポジットレジン充填(溝に着色レジンを用いて形態・色調再現)
コンポジットレジン充填(溝に着色レジンを用いて形態・色調再現)
治療期間
1日(約60分)
費用
35,000円
リスク・副作用
補綴の再治療は歯髄損傷リスクが高まる
残存歯質が少ない場合は歯の破折リスク
残存歯質が少ない場合は歯の破折リスク
医院コメント
小範囲の欠損に対して1回法で審美的に修復。
清掃性と見た目を両立。
清掃性と見た目を両立。
奥歯の詰め物(セラミックインレー)
項目
内容
治療前後写真

治療前

治療後
年齢・性別
20歳・女性
来院理由
銀歯が取れてしみる
治療内容
ルーペ下でカリエス除去
精密印象採得→後日セラミックインレーを強力接着
メンテナンス移行
精密印象採得→後日セラミックインレーを強力接着
メンテナンス移行
治療期間
1日(装着は後日)
費用
35,000円
リスク・副作用
再補綴時に歯髄損傷リスク上昇
残存歯質が少ない場合は破折の可能性
残存歯質が少ない場合は破折の可能性
医院コメント
適合・耐久性・審美性を重視したセラミックで金属露出を解消。
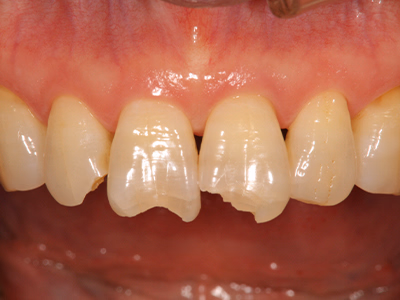
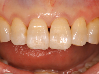
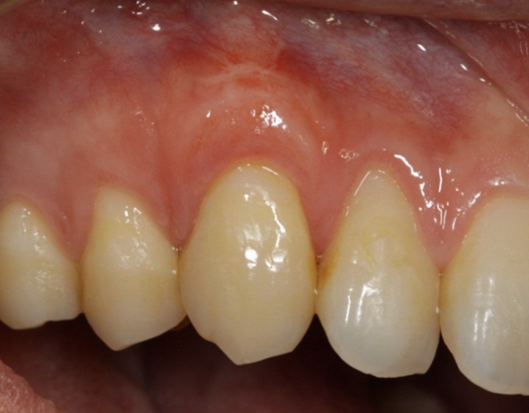
前歯(コンポジットレジン)
項目
内容
治療前後写真

治療前

治療後
年齢・性別
33歳・女性
来院理由
転倒で前歯の切端が破折
治療内容
マイクロスコープ+ラバーダム下で3色レジンを積層接着
再破折予防にナイトガード作製
再破折予防にナイトガード作製
治療期間
1日
費用
66,000円
リスク・副作用
切端部は力が集中しやすく、人工物が脱離・破折する可能性
医院コメント
色調再現と形態回復を同時に達成し、機能・審美を短期に改善。
前歯のセラミックス
項目
内容
治療前後写真

治療前

治療後
年齢・性別
50歳・女性
来院理由
前歯の変色・審美障害
治療内容
全体ホワイトニング→失活歯(#11)を再根管治療→#11フルセラミックス修復
#21はレジン充填
#21はレジン充填
治療期間
約3ヶ月
費用
- ホワイトニング 88,000円
- 感染根管治療 121,000円
- セラミック 170,500円
- コンポジットレジン 33,000円
リスク・副作用
歯肉退縮で境目が見える可能性
過度な咬合力でセラミックのチッピング
過度な咬合力でセラミックのチッピング
医院コメント
生物学的安定性を確保した上でセラミックを接着し、色・透明感を自然に調和。
ラミネートべニア
項目
内容
治療前後写真

治療前

治療後
年齢・性別
35歳・女性
来院理由
前歯の審美障害
治療内容
前歯2本の形態を微量形成→精密印象→仮歯で色・形を確認→後日べニアを強固に接着
治療期間
約1ヶ月
費用
310,200円(2本)
リスク・副作用
エナメル質切削に伴う歯髄への影響リスク
接着界面の経年変化
接着界面の経年変化
医院コメント
低侵襲で形態・色調を改善。
技工士立会いで色合わせを行い自然感を重視。
技工士立会いで色合わせを行い自然感を重視。
全顎修復
項目
内容
治療前後写真

治療前

治療後
年齢・性別
43歳・女性
来院理由
銀歯を白い歯に治したい
治療内容
マイクロスコープ下でカリエス除去後、セラミック(インレー・クラウン・ラミネートべニア)で全顎的に修復しメンテ移行
治療期間
約2ヶ月
費用
- ラミネートべニア(2本)297,000円
- セラミックインレー(2歯)143,000円
- セラミッククラウン(6歯)1,023,000円
リスク・副作用
再補綴時の歯髄損傷リスク
残存歯質が少ない場合の破折リスク
残存歯質が少ない場合の破折リスク
医院コメント
色・形態・咬合を総合的に整え、審美性と機能性のバランスを長期目線で最適化。
歯周病治療
歯周病治療
歯周病治療 再生療法
項目
内容
治療前後写真

治療前

治療後
年齢・性別
60代 女性
来院理由
下の前歯から出血と膿が出てくる
治療内容
- ① 歯周組織検査(CT撮影)
- ② 歯周初期治療(プラーク、歯石除去、ブラシング指導)
- ③ 歯周外科治療(再生療法)
マイクロスコープを用いての歯石除去後、エムドゲイン・人工骨・多血小板血漿・遮蔽膜を使用
治療期間
3ヶ月(手術当日+月1回の経過観察を3回)
費用
55,000 円(税込・自費診療、保険適用外)
リスク・副作用
- 術後の腫脹・疼痛・出血
- 術後の感染
- 組織の再生不良
医院コメント
定期メンテナンスにより長期安定を目指します。
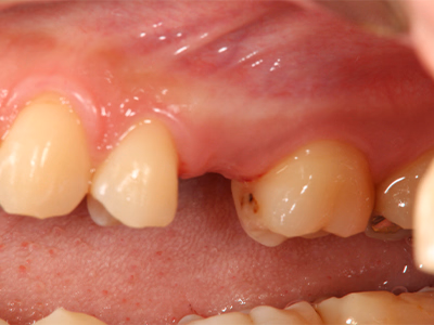
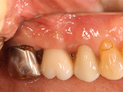
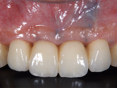
歯周病治療 歯周形成外科
項目
内容
治療前後写真

治療前

治療後
年齢・性別
40代 女性
来院理由
歯茎が下がっている
治療内容
- ① 歯周組織検査
- ② 歯周初期治療(プラーク・歯石除去 ブラッシング指導)
- ③ 歯周形成外科治療
マイクロスコープを用いて結合組織移植術を行う
治療期間
3ヶ月(手術当日+月1回の経過観察を3回)
費用
440,00 円(税込・自費診療、保険適用外)
リスク・副作用
- 術後の腫脹・疼痛・出血
- 術後の感染
- 移植組織の壊死
医院コメント
定期メンテナンスにより長期安定を目指します。