修復治療・補綴治療とは?
むし歯や外傷、加齢変化などで歯の一部が損なわれた場合、その機能や見た目を回復する治療が「修復治療」や「補綴治療」です。
簡単に言えば、「歯を元の形や機能に近づけるために、詰め物や被せ物、義歯などで補う治療」です。
一度失われた歯の構造は自然に再生することはなく、必ず人工物によって補わなければなりません。
そのため、どのような素材・方法で補うかが非常に重要になります。


むし歯や外傷、加齢変化などで歯の一部が損なわれた場合、その機能や見た目を回復する治療が「修復治療」や「補綴治療」です。
簡単に言えば、「歯を元の形や機能に近づけるために、詰め物や被せ物、義歯などで補う治療」です。
一度失われた歯の構造は自然に再生することはなく、必ず人工物によって補わなければなりません。
そのため、どのような素材・方法で補うかが非常に重要になります。

| 項目 | 自費診療の補綴治療 |
|---|---|
| 材料 | 制限なし(セラミック・ジルコニアなど選択可) |
| 見た目 | 天然歯に近い自然な仕上がり |
| 耐久性 | 長持ちしやすい |
| 適合精度 | 非常に高い |
| 費用 | 高額(全額自己負担) |
| 適応範囲 | ほぼ制限なし |
| 項目 | 保険診療の補綴治療 |
|---|---|
| 材料 | 制限あり(銀歯やプラスチックなど) |
| 見た目 | 限定的(銀色など) |
| 耐久性 | 比較的短い |
| 適合精度 | 限界あり |
| 費用 | 安価(保険適用) |
| 適応範囲 | 制限あり |
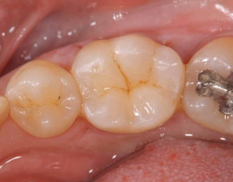
日本の保険診療では、「銀歯(キンパラ)」と呼ばれる金属の詰め物や被せ物が広く使われています。
これは金・銀・パラジウムなどを含む合金で、保険適用で費用が安くすむため多くの人が利用しています。
しかし、海外ではこの銀歯はほとんど使われていません。
その理由は、金属アレルギーを起こすリスクがあること、口の中で金属が少しずつ溶け出し歯ぐきが黒ずんだり(メタルタトゥー)、肌荒れや口内炎など体調不良につながることがあるためです。
また、金属は硬すぎて周囲の歯を傷めたり、噛み合わせに悪影響を与えることもあります。
こうした問題から、欧米などの先進国では歯科医師会や行政機関が、金属修復の使用を制限・段階的に縮小している国も増えており、金属を使わないセラミックやジルコニアといった「メタルフリー修復」が主流になっています。
これらの素材はアレルギーの心配が少なく、見た目も自然で、天然の歯に近い硬さ・なじみやすさがあるため、長期間安定して使うことができます。
詰め物や被せ物が「どれくらい長くもつか」は、さまざまな要素が関係しています。
修復物の素材はセラミック・ジルコニア・レジンなど様々ありますが、それぞれ強度や割れやすさ、どの部位に使うかなどの特徴が異なります。
そのため、的確な部位に適切な素材を選ぶことが寿命を伸ばす上では重要です。
詰め物や被せ物は、歯にどれだけぴったり合っているか(適合しているか)が非常に重要です。
適合が悪く、修復物と歯のあいだにわずかな段差やすき間があると、その部分に細菌や汚れがたまりやすくなり、図のような悪循環が起こります。
強い力がかかる位置に弱い素材を使うと、欠けたり割れたりするリスクがあります。
また、歯ぎしりや食いしばりがある方は、注意が必要です。
治療した歯も、日々のケアや歯科医院でのメンテナンス次第で虫歯や歯周病のリスクが大きく変わってきます。
特に噛み合わせや磨き残しは、自覚しにくい変化ですので、歯科医院での定期検診も併用し、必要な処置を行うことが修復物を長期間使用するためのポイントです。
近年、世界中の歯科医療では以下の考え方が主流となっています。
このような世界基準での修復治療は、長期的に歯を守るだけでなく、治療回数の削減や見た目の美しさにもつながります。
望月デンタルクリニックでは、この世界基準の治療を採用し、最新で安心できる治療を提供しています。
望月デンタルクリニックでは、高品質な補綴物を提供するために、技術力の高い歯科技工士と密接に連携し、補綴物の調整を共同で行っています。
歯科医師と歯科技工士のチームワークによって、精密な適合性と自然な見た目を両立させ、患者様一人ひとりに合った補綴物を作製・ご提供しています。
詰め物や被せ物がどれだけ長持ちするかは、「どれくらいぴったり歯に合っているか(適合精度)」がとても大切です。
もし少しでもすき間があると、そこから細菌が入り込み、また虫歯になってしまうことがあります。
当クリニックでは、このリスクを減らすためにドイツのカールツァイス社製のマイクロスコープ(歯科用の顕微鏡)を使っています。
この高性能なマイクロスコープを使うことで、肉眼では見えない歯の細かい部分まで20倍以上に拡大して確認しながら治療できます。
これにより、
といった、再発リスクの少ない精密な治療を行うことができます。
当クリニックでは、最新のデジタル補綴システム「CEREC(セレック)」を導入し、短時間かつ安全・質の高い治療を提供しています。
CERECはドイツで開発されたシステムで、世界中の多くの歯科医院で使われている信頼の高いデジタル治療方法です。
このシステムを使うことで、歯を削ったその日のうちに、詰め物や被せ物の設計・製作・装着まで完了することができます(所要時間:約1~2時間)。
従来の治療では、歯を削った後に一度仮のふたをして、別の日に再度来院しなければならず、この間に細菌が入ってしまい、歯が汚れて接着が弱くなったり、再び虫歯になるリスクがありました。
CERECなら、その日のうちに治療が終わるので、こうしたリスクを減らすことができ、感染予防にもとても効果的で、患者様の通院の回数が減ることで負担も少なくなります。
また、使われる素材はセラミックなので、見た目も自然で美しく、金属アレルギーの心配もありません。

お口の中に入れる詰め物や被せ物は、長いあいだ体の中にある「人工物」です。
だからこそ、当クリニックでは体にやさしく、安心して長く使える素材だけを選んで治療しています。
今まで多く使われてきた「銀歯(金銀パラジウム合金)」は、保険がききますが、
などのリスクがあり、最近では海外でも使われなくなってきています。
そこで当クリニックでは、金属を使わない以下のようなメタルフリー素材をおすすめしています。
白く透明感があり、天然の歯に近い自然な見た目を再現できます。
アレルギーの心配がなく、長期間変色しにくいのも特徴です。
審美性と耐久性を兼ね備えた素材として、前歯から奥歯まで幅広く対応できます。
非常に硬く、耐久性が高い素材です。見た目も白く、アレルギーの心配がありません。
かむ力が強い奥歯やブリッジにも安心して使える素材で、金属のような強さを持ちながら、体にはやさしいのが特長です。
虫歯が小さい場合など、最も歯を削らずにすむ素材です。
直接お口の中に詰めることができ、1回の治療で完了することも多く、体への負担が少ないのが特長です。
当クリニックでは高品質のレジン材を使用し、できる限り自然な色と形に仕上げるよう心がけています。
詰め物や被せ物などの修復物は、治療したら終わりではなく、その後のケアがとても重要です。
どんなに精密に作られた修復物であっても、噛み合わせの変化や磨き残し、生活習慣の影響で劣化や再発のリスクが高まることがあります。
当クリニックでは、歯科衛生士と連携し、以下のような治療後の歯を長く守るためのメンテナンス体制を整えています。
こうした継続的なケアを行うことで、再治療の必要を減らし、治療した歯を10年、20年と長く守ることが可能になります。
定期的にメンテナンスを受けている方は、受けていない方と比べて歯の喪失率が大幅に低いことも、国内外の研究で明らかになっているため、「治してからしっかり守る」ことが、一生涯にわたって歯を残す最大のポイントです。






| 項目 | 治療内容 | 料金 | ||||||
|---|---|---|---|---|---|---|---|---|
| 共通 |
| |||||||
| 被せ物(クラウン) |
| |||||||
| 補綴処置 |
| |||||||
| ブリッジ |
| |||||||
| ラミネートベニア | セラミックス | 148,500円 | ||||||
| 仮歯1歯 |
| |||||||
| ワックスアップ | シュミレーション模型作製 | 5,500円 | ||||||






形態と色調を細かく調整し、自然な仕上がりを実現。
患者様は笑顔に自信を持たれ、現在も定期メンテナンスを継続中です。
虫歯や歯の破折で歯を削ったあとに行う詰め物・被せ物の治療は、見た目や噛む力を回復するための大切な処置です。
治療直後はきれいに仕上がっていても、お口の中は常に細菌・唾液・強い力といった過酷な環境にさらされており、時間の経過とともに修復物の劣化や再発のリスクが高まります。
だからこそ、最初の治療の精度はもちろん、治療後のメンテナンスも非常に重要です。
現代の私たちは人生100年時代を生きており、その長い人生で毎日「自分の歯でしっかり噛んで、美味しく食べて、自然に笑える」かは、暮らしの質や人生の豊かさに直結します。
望月デンタルクリニックは、短期的な治療ではなく、長期にわたって「これからの人生を豊かにする治療」をご一緒に考え、全力でサポートいたします。

当クリニックでは、患者様一人ひとりの状態に合わせて、世界的にも評価されている治療技術・素材・設計手法を取り入れながら、
できるだけ長く、安心して使える修復物をご提供しています。
また、歯を削ったその日のうちに補綴物を装着できるシステムも導入しており、
患者様のご都合や治療の必要性に応じて、通院回数を抑えながらも高品質な修復治療が可能です。
「仕事や育児で通院の時間がとれない」「早くしっかり治したい」「見た目にもこだわりたい」
そんなご要望にも、しっかりと対応し、お口の状態やライフスタイルに合った無理のない最適なプランをご提案いたしますので、
詰め物・被せ物に関するお悩みは、どうぞお気軽にご相談ください。
| 診療時間 | 月 | 火 | 水 | 木 | 金 | 土 | 日祝 |
|---|---|---|---|---|---|---|---|
| 9:00 〜 13:00 | ○ | ○ | ○ | ○ | ○ | ||
| 14:30 〜 18:00 | ○ | ○ | ○ | ○ | ○ |