ホワイトニングで、もっと健康的に、
もっと美しく
もっと美しく
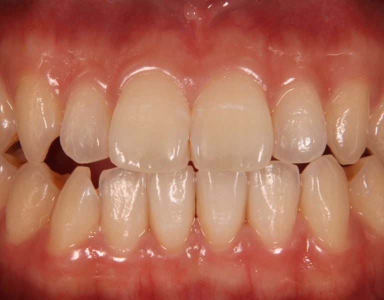
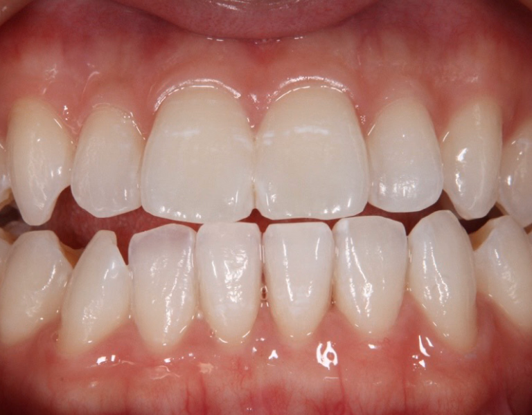
どんな化粧よりも、“白い歯”は健康的で美しい。
それは、笑顔に自信を与え、清潔感や若々しさを引き立てる大切な要素です。
歯は、顔の中で目と並んで唯一“白く目立つ”パーツ。
だからこそ、歯の色が変わるだけで、顔全体の印象は驚くほど変化します。
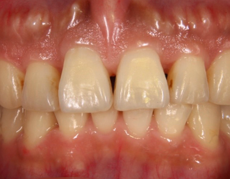
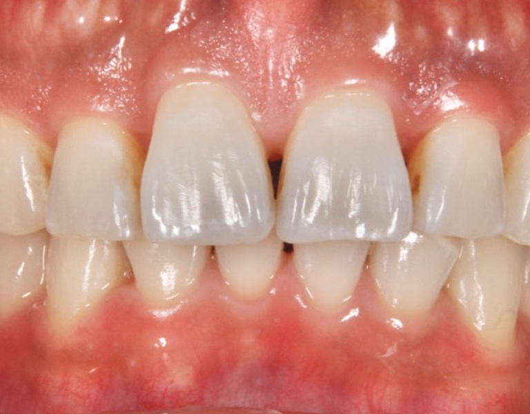
「歯の黄ばみが気になる」
「自然で明るい口元にしたい」
「イベント前に自信をつけたい」
そんなお声にお応えするのが、望月デンタルクリニックのホワイトニング治療です。
近年では、ホワイトニングは特別な美容法ではなく、身だしなみやセルフケアの一環として、多くの方が取り入れています。
当クリニックでは、効果と安全性を両立したホワイトニングを、審美歯科学会認定の歯科衛生士が担当し、ご提供しています。












